
자궁암증상은 다양한 형태로 나타나며, 조기 발견이 중요합니다. 이 글에서는 자궁암증상의 초기 징후와 그에 대한 주의사항을 상세히 살펴보겠습니다.
자궁암증상 초기 징후
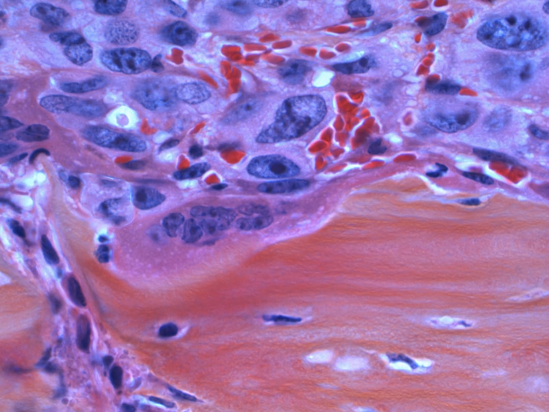
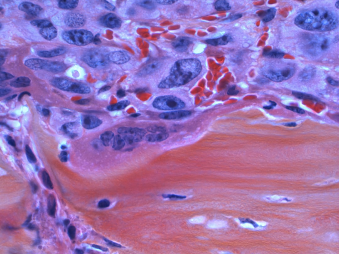
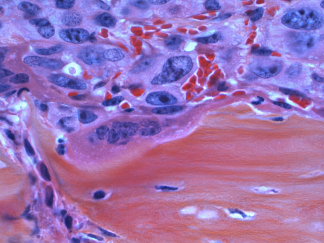
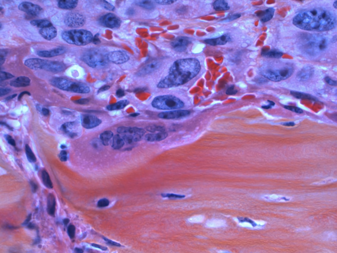
자궁암증상은 시작 단계에서 미미하게 느껴질 수 있으나, 이러한 초기 징후를 무시해서는 안 됩니다. 자궁경부암 증상 중 하나로, 비정상적인 질 출혈이 대표적입니다. 월경 이외의 시점에 출혈이 발생하면, 검사를 받아야 하는 신호일 수 있습니다. 특히 성관계 후 출혈이나 폐경 이후 다량의 출혈이 관찰되면 즉시 전문가의 상담을 받는 것이 바람직합니다. 이러한 증상은 단순한 문제로 여길 수 있지만, 자궁암의 위험 신호일 수 있기에 주의가 필요합니다.

또한, 자궁내막암 증상의 경우, 비정상적인 질 분비물이나 단순한 복통으로 오해할 수 있는 증상들이 있습니다. 이러한 증상이 지속된다면 검사를 통해 정확한 진단을 받는 것이 중요합니다. 조기에 발견하면 치료 가능성이 높아지며, 생명에 대한 위협을 줄이는 데 기여할 수 있습니다. 자궁암증상이 나타날 때는 사실 이들이 전부 우려할 만한 징후라는 점을 마음에 새겨야 합니다.
또한 자궁암 난소암 증상이 동반될 수 있다는 점도 경계해야 합니다. 배와 하복부의 불편감, 잦은 배변습관 변화 등은 자궁암증상과 관련될 수 있으며, 이 역시 간과해서는 안 되는 신호입니다. 미세한 변화들이 모여 큰 문제로 발전할 수 있으므로, 신체의 이상을 간과하지 말고 주의 깊이 살펴보아야 합니다.
자궁암의 1기 증상으로는 증상이 비교적 덜 눈치채게 나타나기 때문에, 평소의 건강 상태를 점검하는 것이 중요합니다. 정기적인 건강검진은 자궁암증상을 조기에 발견하는 데 큰 역할을 하므로, 이러한 기회들을 놓치지 않는 것이 핵심입니다. 몸이 보내는 미세한 신호에 귀 기울여 보고, 적절한 행동을 취하는 것이 최선의 예방법입니다.
자궁암증상 주의사항
자궁암증상에 대한 주의는 단지 초기 증상을 인식하는 데 그치지 않습니다. 정기적인 스크리닝과 의료 전문가의 상담이 필수적입니다. 자궁경부암 4기 증상이나 자궁경부암 3기 증상 등 각 단계에서 증상이 심각해질 가능성이 있으므로, 스스로 판단하기 보다는 전문가의 도움을 받는 것이 중요합니다. 건강검진 일정을 설정하고, 해당 시기에 검사를 받는 것이 예방의 초석이 될 것입니다.



또한, 평소의 생활습관도 자궁 건강에 큰 영향을 미칩니다. 규칙적인 운동과 올바른 식습관은 면역력을 강화하고 자궁암증상을 예방하는 데 도움이 됩니다. 더 나아가, 스트레스 관리와 정신 건강 또한 잊지 말아야 할 요소입니다. 건강한 자궁을 위해 꾸준한 자기 관리가 필요합니다.
가끔은 자신이 겪고 있는 증상이 자궁경부암 말기 증상이나 재발 가능성을 암시할 수도 있습니다. 그렇기에 불안한 마음을 잠재우기 위해 조기 검진을 실행하는 것이 언제나 권장됩니다. 자궁암증상에 대한 정보를 통해 스스로를 보호할 수 있는 힘을 길러야 합니다.
자궁암증상 검사와 치료
자궁암증상을 진단하기 위한 방법에는 여러 가지가 있으며, 자궁경부암 증상 치료를 위한 방법도 다양합니다. 자궁체와 자궁경부에 따라 적절한 치료 방법이 결정되며, 초기 발견 시 수술이 가능한 경우도 많습니다. 긍정적인 치료 결과를 위해서는 정확한 진단과 치료가 중요하므로, 전문의와의 상담을 통해 올바른 정보를 확보해야 합니다.
자궁암증상 통계
| 단계 | 증상 | 치료 가능성 |
|---|---|---|
| 1기 | 비정상 출혈 | 높음 |
| 2기 | 하복부 통증 | 중간 |
| 3기 | 심한 복통 | 낮음 |
| 4기 | 전이 증상 | 최저 |
결론
자궁암증상에 대한 반응은 조기 발견이 생명에 미치는 영향을 결정짓는 중요한 요소입니다. 따라서 신체의 변화를 항상 주의 깊게 살펴보든가 혹은 주기적인 검진을 통해 자신을 지켜야 합니다. 이는 단순한 예방법을 넘어서 생명과 직결된 문제라는 점을 잊지 말아야 합니다. 자궁암증상을 미리 파악하고 대응하는 것은 모든 여성의 권리이자 의무입니다.
이런 글도 읽어보세요
여성갱년기증상 쉽게 극복하는 방법 소개
여성갱년기증상은 여러 여성들이 겪는 힘든 경험입니다. 손쉽게 극복할 방법과 건강한 생활 습관을 통해 편안한 일상을 회복하는 팁을 소개합니다.여성갱년기증상 이해하기여성갱년기증상은 4
geowin2000.jhcin.kr
코스프레 완벽 가이드 인기 캐릭터는?
코스프레에 대한 모든 것을 담은 이 가이드에서는 인기 캐릭터뿐만 아니라 준비 과정과 필요한 아이템, 그리고 코스프레의 재미를 함께 나눕니다. 이제 본격적으로 시작해볼까요?코스프레란 무
geowin2000.jhcin.kr
어린이단백질 간편하게 섭취하는 방법과 추천 제품
어린이단백질은 성장과 발달에 중요한 역할을 합니다. 어린이들이 쉽게 섭취할 수 있는 방법과 추천 제품을 소개해 드릴게요!어린이단백질, 왜 중요할까?어린이단백질은 성장기 아이들에게 필
geowin2000.jhcin.kr
자주 묻는 질문(FAQ)
Q1. 자궁암증상의 초기 징후는 무엇인가요?
A1. 비정상 출혈, 질 분비물, 복통 등이 초기 징후로 나타날 수 있습니다.
Q2. 자궁암은 어떻게 예방할 수 있나요?
A2. 정기적인 검진과 건강한 생활습관이 예방에 중요합니다.



Q3. 자궁암증상 발견 후 치료는 어떻게 진행되나요?
A3. 단계에 따라 수술, 방사선 치료, 항암 치료 등 다양한 방법으로 치료가 진행됩니다.